
Ask the Expert: An Interview with Bob Margeas, DDS on Universal Composites
How do you evaluate the esthetic potential of a composite?
In addition to a high degree of polishabilty and matching natural tooth shades and opacities, an esthetic composite must blend into the surrounding tooth structure such that the tooth/restoration interface disappears. Evanesce™ Nano-Enhanced Universal Restorative (Clinician’s Choice®) satisfies the requirement for a fast, high shine polish and availability of multiple shades and opacities, but I am very impressed by its ability to disappear into the tooth, even if the shade is slightly off. The combination of a preparation with a long beveled facial margin with Evanesce composite produces a restorative surface indistinguishable from tooth structure. The importance of selecting the appropriate shades shouldn’t be underestimated, there are times where a dentist may be off in shade selection. Unfortunately, this can result in an unnatural looking composite restoration which stands out against the natural dentition. I have found, whether I accurately assessed the shade or in cases where I have used A3 instead of A2, for instance, there was no difference in the final esthetic result due to its remarkable ability to blend into the tooth.
How do you mimic the varying translucencies in the adjacent teeth when you are placing an anterior composite?
The variations in incisal translucency from one case to the next can be quite dramatic. Tints can be helpful in replicating translucency; however, they can be more technique sensitive and require clinical experience to gauge the appropriate amount of tint required for the case. Fortunately, many anterior composite cases can be restored using a one shade/opacity composite restoration. However, for those clinical cases where there is a high degree of incisal translucency present, you need a composite system that gives you the optional opacities that allow you to match the translucencies in the adjacent teeth. In addition to their enamel opacity of 80%,
Evanesce has 3 more enamel options that span a greater degree of translucency, including one that is only 50% opacity. These come in handy when I am restoring Class IVs and placing full composite veneers. The opacity of Evanesce I choose for the initial lingual enamel layer is based on the overall incisal translucency that I want in the final restoration. The Evanesce system provides me with the control, through its range of opacities, to blend in the next layers composite I require to achieve the desired esthetic result.
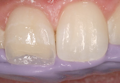
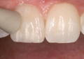
Class IV Lingual Matrix Technique

FIG. 1
A mock-up restoration of the lingual and incisal surfaces of tooth #8 were captured by a layer of Template Ultra Quick Matrix Material extending canine to canine.

FIG. 2
After tooth preparation, the Template matrix was re-inserted. Evanesce nanofilled composite was packed against the Template matrix to form a lingual shelf.

FIG. 3
A thin layer of dentin shaded Evanesce composite was placed and light-cured. Following, a final layer of enamel-shaded Evanesce was placed to complete the
restoration.

FIG. 4
Primary anatomy was formed using coarse and medium discs. A carbide bur was used to create secondary anatomy.

FIG. 5
Following a finishing and polishing protocol, the restoration was polished to a high shine.

FIG. 6
Final highly esthetic result.
How significant are handling properties when you are choosing a composite?
Handling is one of the most important properties of the composite in my opinion. I layer a lot of my anterior composites and use the pull-through technique to establish proximal contacts and contours as well as often rolling and shaping an increment of composite with my fingers prior to taking it to the tooth with an instrument. This requires me to use a composite with exceptional handling properties. With a Class IV composite, I prefer to use a lingual matrix when placing my first layer. This lingual enamel layer is critical in establishing lingual contour and incisal translucency as well as a rampart for the next layer. I need to be able
to adapt a very thin layer of Evanesce to the lingual matrix. This is possible due to Evanesce’s ability to be spread and thinned yet remain exactly in place without sticking to the instrument. When I am doing a diastema closure, I pre-shape the facial layer of composite with my gloved fingers before placing it onto the tooth. The composite cannot slump and must retain this shape as it is adapted to the tooth. Evanesce is slightly stiffer by design and this allows me to place, sculpt, blend
and cleave off any excess composite without slumping or sticking to the instrument. In each of these clinical scenarios, the pull-through technique is key to creating natural proximal contours and contacts as well as emergence profiles but would be totally ineffective if your composite has a tendency to stick to the mylar strip. These same favorable handling characteristics are just as valuable when placing a posterior composite. I can easily place and adapt Evanesce to the preparation owing to its slight stiffness and ease of manipulation without sticking to the instrument, and I can easily blend Evanesce into the occlusal margins and shape and sculpt the occlusal anatomy entirely without losing the cusps or grooves due to slumping.
Can one composite truly be universal in it’s clinical applications?
I believe that a universal composite can exist without compromising esthetics or strength. There are definite requirements in my mind for a single composite to be
considered universal. First of all, its formulation must reflect a balance in compressive and tensile strengths to address the differing effects that masticatory forces have on posterior and anterior regions. Additionally, there are physical characteristics, handling and esthetic properties that can be of more significance in the anterior than the posterior and vice-versa. Anteriorly, I need a highly esthetic composite that stays exactly where I place it, then spread and thinned to an infinite margin without pull-back. Posteriorly, I like a composite that I can adapt to the preparation and matrix, sculpt and cleave in place. The composite must be fast and easy to polish to a high luster and maintain this luster for years. It is just as important to achieve this same polish on a posterior composite due to the value of a surface that is resistant to plaque accumulation. I have been using Evanesce for both anterior and posterior restorations as it meets the criteria for universal strength
while excelling in esthetics and handling. Evanesce is a highly filled, slightly stiffer nano-hybrid composite that I find to be easy to manipulate. This is a desirable property regardless of where you are placing the restoration. Evanesce in its universal opacity offers multiple VITA shades suitable for all of the posterior and most
anterior composite indications. With Evanesce’s optional opacities and its ability to optically disappear into the tooth, I have no hesitation to use this universal composite for the most challenging esthetic cases.
About the Author

Bob Margeas, DDS
Dr. Margeas graduated from the University of Iowa College of Dentistry in 1986 and completed his AEGD residency the following year. He is currently an adjunct professor in the
department of Operative Dentistry at the University of Iowa. He is Board Certified by the American Board of Operative
Dentistry. He is a Diplomate of the American Board of Aesthetic Dentistry, a Fellow of the Academy of General Dentistry, American Society for Dental Aesthetics and
International Team of Oral Implantologists (ITI). He has
written numerous articles on esthetic and implant
dentistry, and lectures and presents hands-on courses nationally and internationally on those subjects.
Discover More
This article was originally published in the Clinical Life™ magazine: Winter 2024 edition
Clinical Life™ magazine is a premier periodical publication by Clinical Research Dental Supplies & Services Inc. Discover compelling clinical cases from Canadian and US dental professionals, cutting-edge techniques, product insights, and continuing education events.
Subscribe to our emails to receive articles like this and be notified about our exclusive promotions.



