
Take 5 - 5 Restorative Clinician's Take On Evanesce Silk® Nano-Enhanced Universal Restorative

Dr. Chan earned his DMD degree in 1989 from Oregon Health Sciences University. He maintains a full-time practice focused on cosmetic and comprehensive dentistry located in Ridgefield, Washington. He is the past President and an Accredited member of the American Academy of Cosmetic Dentistry.
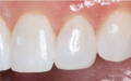
SCULPTABLE HANDLING
“Evanesce Silk has excellent handling, can be manipulated easily without slumping, and can be effectively used as a dentin replacement layer or as a single layer for a one shade restoration.”
with David Chan, DMD, AAACD


Dentistry and photography courtesy of David Chan, DMD, AAACD
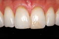
STRONG & DURABLE
“Evanesce Silk combines strong physical and optical properties with great handling qualities. In addition, its slightly creamier viscosity allows it to be easily manipulated and adapted to preparations while retaining its ability to be easily sculpted.”
with Dimple Desai, DDS, AAACD


Dentistry and photography courtesy of Dimple Desai, DDS, AAACD. Statement and clinical images originally featured in Inside Dentistry, December 2024.

Dr. Desai is the founder of Luminous Smiles in Newport Beach. She obtained both her Bachelor's degree in Dental Hygiene and a Doctorate of Dental Surgery from the University of Southern California. Dr. Desai is also a graduate of the Kois Institute and is an Accredited Member of the American Academy of Cosmetic Dentistry

Dr. Edward Lowe is a graduate of UBC Dentistry and owns a private practice devoted to functional aesthetics in Vancouver, BC. He is an accredited American Academy of Cosmetic Dentistry member and has been the editor-in-chief of the Journal of Cosmetic Dentistry for the past 14 years.
EXCEPTIONAL ESTHETICS
“Whether you’re doing a one shade restoration or using in a layering technique with additional Evanesce shades, Evanesce Silk blends seamlessly into the natural tooth structure and polishes quickly for a highly esthetic result.”
with Ed Lowe, DMD, AAACD
FAST, HIGH GLOSS FINISH
“Evanesce Silk handles well without sticking or slumping and provides a stunning polish in under 90 seconds.”
with Fred Peck, DDS, FAACD


Dentistry and photography courtesy of Fred Peck, DDS, FAACD

@peckandfrew
Dr. Fred Peck is a Cincinnati area-based general dentist. Accomplished in cosmetic dental techniques, Dr. Peck has been asked to share his skills and knowledge with his dental peers and is an ongoing lecturer all over the United States. He is an Accredited Fellow of the AACD and a graduate of the Kois Institute and the Dawson Academy.
BLEND WITH NATURAL TOOTH STRUCTURE
"The key criteria for composite resins to blend into natural tooth structure undetectably, is the adequate amount of opacity in the resin itself at a
given thickness. Evanesce dentin shades with 90% opacity, along with enamel shades having an 80% opacity, provide the correct recipe to block out the tooth/composite transition, allowing the restorative material to blend seamlessly into the tooth structure to ensure invisible margins. This is a result of its nanopigments and fillers that maximize its refractive and
reflective indices. For all my direct restorative cases, I have absolute confidence in Evanesce to flawlessly mimic the beauty of the natural tooth in any direct restorative scenario."
with David Chan, DMD, AAACD


Dentistry and photography courtesy of David Chan, DMD, AAACD

Dr. Chan earned his DMD degree in 1989 from Oregon Health Sciences University.
He maintains a full-time practice focused on cosmetic and comprehensive dentistry
located in Ridgefield, Washington. He is the past President and an Accredited member of the American Academy of Cosmetic Dentistry.

Dr. Megan Shelton is a restorative and cosmetic dentist in Southern California. Dr. Shelton attended the University of Louisville School of Dentistry and continued her education at the Kois Institute and graduated in 2021. She is an Accredited member of the American Academy of Cosmetic Dentistry..
SIMPLIFIED SHADE SELECTION
“Ideal for single shade or layering techniques, Evanesce Silk blends seamlessly and polishes beautifully.”
with Megan Shelton, DMD, AAACD


Dentistry and photography courtesy of Megan Shelton, DMD, AAACD
POLISHABILITY
"Evanesce is highly polishable with shades that blend seamlessly into the margins to virtually disappear. In less than 1 minute, in combination with A.S.A.P. Polishers, you can polish Evanesce to a high shine. The best composite restoration is the one that cannot be detected, Evanesce provides that, and a long lasting polish on all my direct restorations."


Dentistry and photography courtesy of Danièle Larose, DMD, AAACD

with Danièle Larose, DMD, AAACD
Dr. Larose is based in St-Laurent, Québec, Canada; her private practice focuses on conservative cosmetic and reconstructive dentistry. She graduated from the University of Montreal in 1997 and is an accredited member of the American Academy of Cosmetic Dentistry.
OPACITIES
"Evanesce is available in the most popular VITA shades with three opacity options: Enamel, Universal and Dentin. The material also comes in three “Enamel FX” shades: White, Incisal and Clear along with two bleach shades for additional shade-matching precision. Evanesce’s opacity selection
allows for a more enhanced and excellent esthetic result that disappears into the existing tooth surface."


Dentistry and photography courtesy of Dimple Desai, DDS, AAACD

with Dimple Desai, DDS, AAACD
Dr. Desai is the founder of Luminous Smiles in Newport Beach. She obtained both her Bachelor's degree in Dental Hygiene and a Doctorate of Dental Surgery from the University of Southern California. Dr. Desai is also a graduate of the Kois Institute and is an Accredited Member of the American Academy of Cosmetic Dentistry
SCULPTABILITY
"Innovative chemistry within Evanesce enables anatomy to be sculpted without slumping, and the material can be adapted to the preparation or thinned out along the surface without fear of pull-back or sticking. This allows you to easily sculpt intricately detailed anatomy and place thin
layers without worrying about slumping."


Dentistry and photography courtesy of Bob Margeas, DDS

with Bob Margeas, DDS
Dr. Margeas graduated from the University of Iowa College of Dentistry in 1986 and completed his AEGD residency the following year. He is currently an adjunct professor in the department of Operative Dentistry at the University of Iowa and maintains a full-time private practice, focusing on comprehensive restorative and implant dentistry in Des Moines.
BLEND WITH NATURAL TOOTH STRUCTURE
"The key criteria for composite resins to blend into natural tooth structure undetectably, is the adequate amount of opacity in the resin itself at a
given thickness. Evanesce dentin shades with 90% opacity, along with enamel shades having an 80% opacity, provide the correct recipe to block out the tooth/composite transition, allowing the restorative material to blend seamlessly into the tooth structure to ensure invisible margins. This is a result of its nanopigments and fillers that maximize its refractive and
reflective indices. For all my direct restorative cases, I have absolute confidence in Evanesce to flawlessly mimic the beauty of the natural tooth in any direct restorative scenario."


Dentistry and photography courtesy of David Chan, DMD, AAACD

with David Chan, DMD, AAACD
Dr. Chan earned his DMD degree in 1989 from Oregon Health Sciences University. He maintains a full-time practice focused on cosmetic and comprehensive dentistry located in Ridgefield, Washington. He is the past President and an Accredited member of the American Academy of Cosmetic Dentistry.
DESIRABLE PHYSICAL PROPERTIES
"Strong and versatile, this nano-hybrid composite features the characteristics of a direct restorative material intended to replace natural tooth structure and is truly universal. It performs equally as well in anterior applications as it does in posterior ones. With a low shrinkage rate of 2% and high compressive and flexural strengths, Evanesce is ideally suited for the most challenging direct restorative indications."


Dentistry and photography courtesy of Mark Bowes, BDS Rand

with Mark Bowes, BDS Rand
Dr. Bowes is the owner and clinical director of Enamel Restorative and Cosmetic Dentistry, a private practice in Cape Town, South Africa. In 2018 he founded the Digital Dentistry Society of South Africa for which he is President.



