Blog banner featuring Dr. Marie-France Roux and a clinical case Blog banner featuring Dr. Marie-France Roux and a clinical case Blog banner featuring Dr. Marie-France Roux and a clinical case
Blog banner featuring Dr. Marie-France Roux and a clinical case

Rajeunissement en une journée : facettes 360˚ avec matrices Bioclear

Une patiente de 70 ans s'est présentée avec une perte osseuse sévère et des triangles noirs extrêmes dus à des décennies de maladie parodontale (Fig. 1). Les principales plaintes de la patiente comprenaient des espaces inesthétiques entre ses dents et une incapacité à prononcer certains mots en raison de son choc avec l'incisive centrale supérieure gauche chaque fois que sa mâchoire avançait pour prononcer les "T" et les "D" (Fig. 2).


Cela la dérangeait beaucoup car elle est actrice de théâtre et doit être capable de parler longtemps pendant ses représentations. La patiente est suivie par un parodontiste tous les trois mois pour l'entretien de son hygiène, a subi plusieurs cycles de surfaçages radiculaires au fil des ans et est actuellement considérée comme très motivée pour maintenir son hygiène bucco-dentaire. Malgré la perte osseuse, son état dentaire ne montre qu'une mobilité de 1+ sur le segment antérieur supérieur.

FIG. 1
Patiente de 70 ans atteinte de parodontite chronique mais stable,
qui consulte pour des options de fermeture de ses triangles noirs.

FIG. 2
L'espace négatif est inesthétique et affecte sa phonétique.

Cette patiente a demandé une transformation immédiate en raison de certaines échéances professionnelles. Elle recherchait également une approche alternative à une restauration fixe, qui serait un traitement plus long et plus coûteux.
Nous avons eu une discussion franche et ouverte sur la possibilité de ne pas pouvoir fermer complètement les triangles noirs massifs. Cependant, il y avait un espoir indéniable d'améliorer sa situation actuelle. Il est important de souligner les limites esthétiques de cette technique de restauration (surofformage Bioclear) afin de gérer les attentes du patient. 
 

Dans ce cas particulier, la patiente était ravie d'obtenir une amélioration de sa situation, et de le faire en un seul rendez-vous !

Attentes des patients

L'objectif de cette patiente était d'éliminer les espaces négatifs entre ses dents, d'améliorer immédiatement l'esthétique de son sourire et de retrouver rapidement la fonction et la phonétique de son segment antérieur supérieur.

Planification du cas

Comme l'a si bien écrit l'auteur et conférencier américain Dr. Stephen Covey dans son best-seller « Les 7 habitudes des gens très efficaces » : « Commencez avec la fin en tête. »

Une partie de l'évaluation initiale doit établir si le patient nécessite une réduction incisive. En d'autres termes, le patient a-t-il simplement besoin de combler des triangles noirs, ou bénéficierait-il :

1. D'une correction du profil d'émergence sur la face vestibulaire au moyen d'un onlay radiculaire.
2. D'une reconstruction du bord incisif au moyen d'un onlay incisif.


Dans ce cas, le patient avait besoin d'un repositionnement prosthodontique de la dent 21, présentait une discordance prononcée de la taille des dents entre 11 et 21, et nécessitait une réinitialisation de la ligne médiane.
 

La rétro-ingénierie du cas est essentielle pour planifier la réduction nécessaire à la solidité et à la longévité des restaurations finales.
 

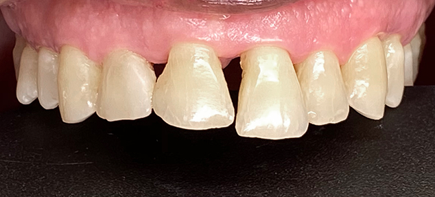
En raison de l'asymétrie entre les incisives du patient, la dent 21 a été initialement réduite pour correspondre à la longueur incisive de la 11 (Fig. 3). Ensuite, elle a été réduite de 1,5 mm supplémentaires afin d'assurer une réduction adéquate et de permettre un enveloppement incisif du moulage par injection. Pour obtenir un résultat prévisible lors de la réalisation de facettes à 360°, il est impératif de respecter des directives spécifiques : la hauteur du composite au bord incisif ne doit pas être inférieure à 1,5 mm, et l'épaisseur incisive de la restauration finale doit être de 2 mm.

FIG. 3
L’ancien collage est partiellement (ou entièrement) retiré, si nécessaire, et une nouvelle ligne du sourire est conçue. L’auteur a utilisé la dent 11 comme point de départ pour recréer la forme et la longueur du sextant 2. Une bonne réduction et une optimisation de l’arcade doivent être réalisées avant le moulage par injection.

La méthode Bioclear utilise de fines matrices en mylar, en forme de dent, qui servent à la fois de moule dans lequel injecter le composite chauffé, mais qui fournissent également une visualisation de la forme finale.


Lors de la consultation initiale, il est important de mesurer les embrasures gingivales à l'aide de la jauge de triangle noir Bioclear (Fig. 4). Ensuite, effectuez un essai de matrice pour évaluer l'exactitude de la mesure et la sélection ultérieure de la matrice destinée à combler l'embrasure (Fig. 5). L'expérience du clinicien et un œil attentif à l'esthétique guident la sélection finale de la matrice la mieux adaptée pour recréer le profil d'émergence approprié. Dans ce cas, nous avons convenu avec le patient de combler les embrasures de 13 à 23 et d'utiliser des matrices de triangle noir Bioclear pour réaliser des facettes à 360° afin de remodeler et de reconstruire les profils faciaux et incisaux.

FIG. 4A

FIG. 4B

FIG. 4C

Lors de la consultation initiale, la correspondance des teintes est obtenue à l'aide de pastilles de composite placées et polymérisées sur la surface vestibulaire des incisives centrales. Chaque embrasure est mesurée et enregistrée à l'aide de la jauge à triangle noir Bioclear.

FIG. 6
Les essais de matrices agissent comme un wax-up pour projeter l'apparence de la restauration finale. Il est crucial de prendre en compte les limites de cette méthode pour la gestion des attentes du patient. Un triangle noir résiduel est anticipé entre les deux incisives centrales supérieures.

La Méthode

An Ivoclar OptraGate® was initially placed, and the teeth were dried and treated with Bioclear Disclosing Solution for 10 seconds before rinsing. This exposes the protein pellicle and any biofilm. Teeth 13 to 23 were treated with a slurry of water and Bioclear Blasting Powder (aluminum tri hydroxide particles) using the Bioclear Blaster, to remove any surface contaminants.


Bioclear TrueContact Saws were then inserted at each point of contact to ensure patency for the upcoming matrix seating. Bioclear Black Triangle Matrices are made of mylar and have a 75 μm thickness. The more matrices seated in a row, the tighter the insertion gets. It is important to restore one tooth at a time and avoid multiple teeth set-up. The more matrices inserted at once, the more aggressive interproximal stripping must get. It is a compound effect of the 75 μm-thickness of each matrix. The clinician must ensure to retain proximal contacts when possible.


Once all necessary arch-form adjustments and incisal cutbacks were performed, the rubber dam was placed. Tooth number 11 was established as the guiding tooth from which to build the rest of the segment. Therefore, it is injection moulded first and cut back to 80% of its final shape. 

 

37% phosphoric acid is used to etch the entire surface of tooth 11 for 15 seconds, prior to rinsing. All of the excess water is removed, and 3M Scotchbond™ Universal Plus Adhesive is used to scrub any freshly cut or exposed dentin for 20 seconds. The adhesive is air-thinned to evaporate any solvents. After the adhesive is cured for 10 seconds, it is again used generously, but this time as a surfactant (wetting agent) in order to lubricate the intaglio of the aquarium. No curing is required at this step.

 

Heated 3M Filtek™ Supreme Flowable restorative is slowly injected inside the matrices bracing the tooth. The tip of the canula is inserted from the facial and aimed interproximally toward the palatal. A slow and measured injection method is necessary to prevent the entrapment of air bubbles.


Following the placement of the flowable resin, warmed 3M™ Filtek™ Supreme Ultra Body Composite paste is now injected into the system. It is a density game: the surfactant is displaced by the more viscous flowable resin, which in turn gets pushed out of the way by the dense composite paste. All in all, the final restoration is roughly a 90% monolithic, densely packed composite paste. As shown in Fig. 7, there is an overabundance of material extending beyond the incisal edge of tooth 22. As
the flowable resin is displaced incisally by the denser composite paste, it may trap air bubbles. Failing to add a sufficient amount of paste during the injection-molding process may result in holes or voids at the incisal border during cut-back.


The over-molded tooth is polymerized, 10 sec per plane—incisal, mid, and gingival planes, both facially and palatally. Depth of cure must be ensured with intentional curing.


After disassembly of the aquarium, the tooth is roughly cut-back to 80% of its final shape using a Komet (Clinical Research Dental) coarse diamond flame-shaped bur and a 3M Sof-Lex Coarse disc. It is strongly recommended to re-cure the composite after cutback because 3M Filtek Supreme Ultra Body has a depth of cure of 2 mm. This will ensure to neutralize all yellow, light-sensitive camphorquinones and reach the intended shade for the restorative material.


Onto restoring tooth 21. Bioclear blue and green large black triangle matrices brace the tooth on the mesial and distal. This forms the Bioclear aquarium into which the injection moulding takes place. In addition, matrices brace the adjacent teeth in order to preserve their upcoming and final shapes. We call these shield matrices (Fig 6).

FIG. 6
La dent 11 est d'abord préparée, moulée par injection et taillée à 80 % de sa forme finale. La dent 21 est modifiée pour s'adapter aux exigences
de la restauration finale. En raison du décalage de la ligne médiane, la matrice mésiale est stabilisée à l'aide de la méthode de l'entretoise de contact latérale.

Le dilemme de la ligne médiane et les fermetures de diastèmes

Afin de recréer une nouvelle ligne médiane, un étai de contact latéral est réalisé sur la face mésiale de la dent 21 (Cliquez ici pour en savoir plus sur l'étai de contact direct Bioclear). Cela recrée instantanément un point de contact entre les dents 11 et 21, ce qui sert à stabiliser la matrice sur la face mésiale de la dent 21 (Fig. 6).

FIG. 7
Les dents sont construites en séquence et réduites à 80 % au fur et à mesure de l'évolution du cas. Notez l'excès de matériau requis sur la dent 22 pour assurer une restauration finale monolithique et sans porosité. Notez la matrice jaune sur la face mésiale de la dent 13 : elle agit comme un bouclier pendant le processus de moulage par injection de la dent 12.

Toutes les dents restantes sont ensuite traitées une par une avec les matrices Bioclear Black Triangle de taille appropriée (Fig. 7), puis moulées par injection et réduites séquentiellement, selon les mêmes principes (Fig. 8).

FIG. 8 
La réduction finale est obtenue une fois que toutes les dents du sextant 2 sont moulées par injection.

Les étapes de mise en forme finale, de prépolissage et de polissage final sont effectuées à l'aide de disques grossiers 3M Sof-Lex, de Bioclear Magic Mix et de la cupule de polissage Bioclear Rockstar séquentiellement (Fig. 9). Au cours de la phase initiale de réduction, la fraise diamantée conique grossière Komet laisse des stries dans le composite. Le disque grossier 3M Sof-Lex vise à lisser les rayures et à préparer les surfaces pour le prépolissage. Il convient d'être très vigilant à ce stade pour identifier tout vide, défaut ou bulle d'air potentiel qui pourrait apparaître. Des corrections, ou augmentations selon la terminologie Bioclear, doivent être effectuées à ce stade et avant l'introduction de contaminants de surface pendant le processus de polissage. La pâte Bioclear Magic Mix est ensuite appliquée sur le composite et travaillée dans la surface à l'aide d'une cupule de prophylaxie jetable blanche. Il est préférable d'utiliser une vitesse lente à air et de faire pulser le mélange sur la surface de la dent afin d'engager les différentes tailles de grains de diamant et de particules d'oxyde d'aluminium présentes dans la pâte. Le Bioclear Magic Mix agit agressivement sur le composite mais est doux pour l'émail. Cette étape de prépolissage laisse les facettes en composite avec une surface mate et uniforme qui est prête à être polie avec la cupule imprégnée de diamant Bioclear Rockstar RS Polisher.

FIG. 9
Polissage final avec le polissoir Bioclear Rockstar. La cupule diamantée est
d'abord utilisée à sec avec une légère pression jusqu'à ce qu'une fine poudre se forme sur le composite. Ensuite, elle est utilisée avec un flux constant d'air-eau et une pression de 1,3 kg pour une brillance supérieure, révélant des reflets spéculaires.

FIG. 10
Radiographies périapicales pré et post-opératoires.

Une fois la digue en caoutchouc retirée, les embrasures incisives sont réexaminées pour une mise en forme finale. Des radiographies périapicales postopératoires sont prises pour confirmer l'absence d'excès de restauration sous-gingival (Fig. 10). Remarquez les courbes généreuses obtenues grâce au contour anatomique des matrices pour triangles noirs Bioclear. (Fig. 11)

FIG. 11
Immédiatement après l'opération.

Résultats finaux

La méthode Bioclear permet à la résine composite chauffée de s'intégrer sans effort sur les surfaces radiculaires d'une manière qui n'irrite pas le parodonte. Bien au contraire, la fermeture des triangles noirs favorise la croissance papillaire jusqu'à 1 mm en repositionnant le point de contact apicalement et en le rapprochant de l'os crestal (Fig. 12). Dans l'ensemble, cette méthode permet au clinicien de répondre aux attentes du patient en matière de rajeunissement minimalement invasif de son sourire et de sa fonction, tout en réalisant cela en une seule séance. L'entretien parodontal doit être poursuivi par le patient et un suivi professionnel effectué tous les 3 mois.

FIG. 12 
6 mois post-opératoire. Le déplacement apical du point de contact entre 11 et 21 favorise la croissance de la papille jusqu’à 1 mm.

À propos de l'auteur

Marie-France Roux, DMD

La Dre Marie-France Roux possède une pratique privée au centre-ville de Montréal. Diplômée en 2002 de l'Université de Montréal, elle a suivi une résidence en pratique générale à l'Université Seton Hall avant de terminer sa formation en occlusion au Dawson Center à Tampa Bay, en Floride. La Dre Roux détient des certifications Bioclear en postérieur de base/antérieur de base et en antérieur avancé. Combinant Invisalign et Bioclear, la Dre Roux enseigne la méthode Bioclear aux dentistes canadiens.

Découvrez-en plus

Cet article a été publié dans le magazine Clinical Life™ :

Édition automne/hiver 2025

Le magazine Clinical Life™ est une publication périodique de premier plan éditée par Clinical Research Dental Supplies & Services Inc. Découvrez des cas cliniques convaincants présentés par des professionnels dentaires canadiens et américains, des techniques de pointe, des informations sur les produits et des événements de formation continue.

S'ABONNER

Abonnez-vous à nos courriels pour recevoir des articles comme celui-ci et être informé de nos promotions exclusives.

Produits phares